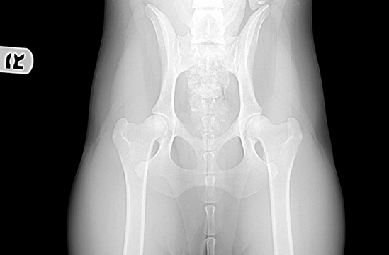
Preliminary hip x-ray submitted to OFA on 10/12/07  results came back GOOD!

back to Sequel's page